Zahnlucke Schliessen Veneers Kosten
Die Kosten einer Zahnbrücke hängen von den Materialien, der Brückenart und den Zahnarztleistungen ab Die Kosten für Zahnbrücken liegen zwischen 450,00€ und 7000,00€ Im Bereich der Zahnbrücken kommen die gesetzlichen Krankenkassen lediglich für Zahnbrücken auf Stahlbasis auf.
Zahnlucke schliessen veneers kosten. Die Kosten einer Zahnbrücke hängen von den Materialien, der Brückenart und den Zahnarztleistungen ab Die Kosten für Zahnbrücken liegen zwischen 450,00€ und 7000,00€ Im Bereich der Zahnbrücken kommen die gesetzlichen Krankenkassen lediglich für Zahnbrücken auf Stahlbasis auf. Die Kosten einer Zahnbrücke hängen von den Materialien, der Brückenart und den Zahnarztleistungen ab Die Kosten für Zahnbrücken liegen zwischen 450,00€ und 7000,00€ Im Bereich der Zahnbrücken kommen die gesetzlichen Krankenkassen lediglich für Zahnbrücken auf Stahlbasis auf. Diese Veneers werden als die beste ästhetische Lösung betrachtet, um eine schöne zäh zu den Zähnen hinzuzufügen Ebenso finden Sie auch den PinnebergZahnarzt, der keramische Inlays, Lehmboden und auch zusammengesetzte Füllungen anbietet, um den Zähnen Kraft zu verleihen.
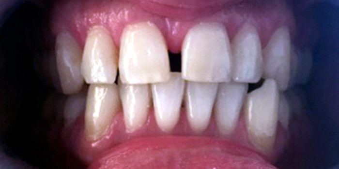
Das Schließen von Zahnlücken zwischen den Schneidezähnen etwa ist mit unterschiedlichen Methoden möglich Welche das sind und die Kosten erfahren Sie hier Eine Lücke zwischen zwei Zähnen, also eine Zahnlücke, wird als Diastema bezeichnet Zahnlücken sind bei Kindern sehr häufig, aber im Allgemeinen kein Grund zur Besorgnis, da die Lücken oft verschwinden, wenn die bleibenden Zähne. (©FotoliaBillionPhotoscom) In der modernen Zahnheilkunde gehören Zahnimplantate zu den gängigen und langjährig erprobten Standardversorgungen, um verloren gegangene Zähne zu ersetzen Das Interesse an Zahnimplantaten in der Bevölkerung ist in den letzten 10 Jahren enorm gestiegen und stellt. Auf welche Weise kann die Zahnlücke mit Veneers geschlossen werden?.
Zahnlücke/Diastema schließen (Kosten, Möglichkeiten) Wie beschrieben geht es darum, dass ich eine Zahnlücke bzw Diastema zwischen meinen oberen Frontzähnen habe (schätzungsweise 5mm) Ich will nicht sagen, dass ich mich deswegen entstellt fühle aber es knackst schon sehr an meinem sonst eher großen Selbstbewusstsein. Mit nur 8 LightVeneers wurde das Lächeln dieser Kundin”. (©FotoliaBillionPhotoscom) In der modernen Zahnheilkunde gehören Zahnimplantate zu den gängigen und langjährig erprobten Standardversorgungen, um verloren gegangene Zähne zu ersetzen Das Interesse an Zahnimplantaten in der Bevölkerung ist in den letzten 10 Jahren enorm gestiegen und stellt.
Hallo ) Ich bin 14 Jahre alt und habe zwischen den Schneide zähnen eine Zahnlücke die ca 3mm breit ist Ich war schon mehrmals beim Kieferorthopäden, eine Zahnspange würde für mich dann ca € kosten da meine Zähne sonst sehr gerade sind Jedoch finde ich das sehr viel Gibt es noch andere Möglichkeiten die zu schließen?. Weitere Informationen zu Kosten, wenn Sie Ihre Zahnlücke schließen lassen möchten Weitere Details sagt Ihnen Ihr Zahnarzt oder Kieferorthopäde. KostencheckExperte Veneers sind eine gute Methode, um ein Diastema zu schließen Es handelt sich hierbei um hauchdünne Keramikschalen, die mittels einer speziellen Klebetechnik fest mit den eigenen Zähnen verbunden werden.
Die Kosten der Behandlungsmethoden für die Schließung einer Zahnlücke beginnen bei 1500 Euro und können in den zweistelligen tausender Bereich reichen Die Zahnspange gehört dabei in die kostenintensivste Kategorie Bei Implantaten, Brücken und Prothesen entstehen meist durch später notwendige Neuerungen weitere Kosten. Aus zahnmedizinischer Sicht sind Implantate ihren Aufwand und ihre Kosten allemal wert, da den gesamten Kieferapparat bis ins Alter intakt halten Ihr Ansprechpartner für optimalen Lückenschluss Wer seine Zahnlücken schließen lassen möchte, dem stehen eine Vielzahl an Möglichkeiten der Zahnheilkunde offen. Hallo ) Ich bin 14 Jahre alt und habe zwischen den Schneide zähnen eine Zahnlücke die ca 3mm breit ist Ich war schon mehrmals beim Kieferorthopäden, eine Zahnspange würde für mich dann ca € kosten da meine Zähne sonst sehr gerade sind Jedoch finde ich das sehr viel Gibt es noch andere Möglichkeiten die zu schließen?.
Bei Erwachsenen kann die Zahnlücke durch das Anbringen von Keramikfacetten, sogenannten Veneers, unkompliziert verdeckt werden Bei Kindern frühzeitig Zahnlücken schliessen Zahnlücken an den Schneidezähnen schließen wir bei Kindern am häufigsten zwischen dem 6 und dem 7 Lebensjahr. Veneers sind zum festen Bestandteil der ästhetischen Zahnmedizin geworden und vielseitig einsetzbar Mit Veneers lassen sich störende Zahnlücken schließen, abgebrochene Zähne unauffällig reparieren oder Zahnfarben aufhellen Selbst bei großen Defekten, wenn viel Zahnsubstanz fehlt, erzielt man hochwertige Ergebnisse. Veneers sind filigrane, dünne Plättchen mit einer Dicke von 0,3 bis maximal 1,0 MillimeternSie werden in der Regel aus Keramik hergestellt und dienen der Versorgung von sichtbaren Zahnflächen im Bereich der SchneidezähneSie werden vor allem dann eingesetzt, wenn die Frontzähne entweder unschön aussehen (dauerhafte Verfärbungen, Fehlstand) oder eine größere Lücke zwischen den.
Es gibt viele Möglichkeiten eine Zahnlücke zu schließen Doch welche ist die richtige?. Veneers – ein Trend im Sinn der zahnmedizinischen Forschung Ein Trend allerdings, betont der Zahnarzt, bei dem klar zwischen medizinischen und ästhetischen Gründen unterschieden werden müsse. Veneers sind hauchdünne Keramikschalen, die vor allem im Bereich der Frontzähne eingesetzt werden Sie korrigieren deine Zähne und sorgen für ein harmonisches Zahnbild Unsere erfahrenen Zahnärztinnen und Zahnärzte beraten dich bei deinem Ersttermin kostenlos.
Was die Veneers kosten, kann man nicht pauschal beantworten Der Preis hängt vom verschiedenen Faktoren ab wie zB Der Art von Veneers NonPrep, konventionelles Veneer, Lumineer Auch bei den konventionellen Veneers spielt die Herstellungsmethode eine Rolle. Zahnlücke schließen mit Komposite Veneers?. Ein relativ einfacher und für den Patienten kaum belastender Eingriff zum Schließen des Diastemas, kann mit den sogenannten Veneers vorgenommen werden Diese kleinen Keramikschälchen sind der Oberfläche der Zähne perfekt nachgebildet und können somit den kleinen.
Bei Erwachsenen kann der Zahnarzt die Zahnlücke durch das Anbringen von Keramikfacetten, sogenannten Veneers, unkompliziert verdecken Zahnlücken bei Kindern frühzeitig schließen Zahnlücken an den Schneidezähnen schließen wir bei Kindern am häufigsten zwischen dem 6 und dem 7 Lebensjahr. Eine Zahnlücke zwischen den vorderen Schneidezähnen ein sogenanntes Diastema kann außerdem durch ein zu tief sitzendes Lippenbändchen verursacht werden Ein weiterer Grund für eine Zahnlücke kann ein fehlender Zahn sein, der durch einen Unfall oder aufgrund von Karies gezogen werden müsste Zahnlücke zwischen den Schneidezähne. Vorausgesetzt natürlich, Ihre Gesundheit hat nichts dagegen Anders sieht es natürlich bei Lücken im Gebiss aus, die durch einen Unfall oder eine Erkrankung entstanden sind.
Zahnlücke schließen veneers kosten Veneers mit 4 Jahren Garantie, deutsche Standards, Marktführer für Auslandszahnersatz Über eine halbe Million versorgte Patienten durch Zahnersatzsparende SuperAngebote für Schutzring Schnecken hier im Preisvergleich bei Preisde Wie lässt sich eine Zahnlücke zwischen den Schneidezähnen schließen und was kostet dies?. Sie fragen sich vielleicht "Kann eine Zahnlücke durch Veneers verdeckt werden?" Du bist definitiv nicht allein Tausende Menschen haben Schwierigkeiten, einen erschwinglichen Weg zu finden, um ihre Zahnlücke zu schließen, und Veneers sind eine beliebte Lösung. Zahn Bonding Kann man eine Zahnlücke schließen?.
VeneersKosten berechnen sich individuell Wie viel Veneers kosten, hängt von verschiedenen Faktoren ab Das Material, die Herstellungsmethode und der Produktionsort spielen eine wichtige Rolle Die Herstellung von Lumineers ist besonders kostspielig, da das Patent in den USA liegt und nur ein einziges Labor die Veneers herstellt. Kosten von Veneers und Lumineers Die Kosten für Veneers und Lumineers fallen je nach Art, Menge und verwendetem Material unterschiedlich aus und können an dieser Stelle nicht pauschal beziffert werden Wir möchten Ihnen im Folgenden jedoch einen ersten Überblick und eine Orientierung über die Kosten von Veneers geben. Die Kosten der Zahnkorrektur richtet sich nach der Methode, die dabei angewandt wird Die Invisalign Zahnschiene ist dabei die kostspieligste Option Bei Veneers und Brücken kommt es auf die Größe und Anzahl an Auch Implantate liegen meist im fünfstelligen Bereich Bei Zahnspangen zeigt sich ein großer Kostenspielraum Diese beginnen ab.
Ganz normal beim Zahnarzt ?. Videoberatung zu KompositVeneers Dr Hanni Lohmar bietet Ihnen die Möglichkeit einer ÄsthetikBeratung per Video an Unter vier Augen macht Sie sich einen ersten Eindruck über das Bild Ihres Lächelns und bespricht mit Ihnen gemeinsam, ob KompositVeneering bei Ihnen möglich ist. Relativ hohe Kosten Für Veneers sprechen die Ergebnisse bei der Verbesserung von Zahnverfärbungen, dem Schließen von Zahnlücken und der Korrektur schief stehender Zähne im Frontbereich, vor allem im Oberkiefer Die Verblendschalen sind zudem sehr gut verträglich eine Langzeitstudie der Deutschen Gesellschaft für Zahn, Mund und.
Was die Veneers kosten, kann man nicht pauschal beantworten Der Preis hängt vom verschiedenen Faktoren ab wie zB Der Art von Veneers NonPrep, konventionelles Veneer, Lumineer Auch bei den konventionellen Veneers spielt die Herstellungsmethode eine Rolle. Zahn Bonding Kann man eine Zahnlücke schließen?. Wenn die Zahnlücke Ihrem Lächeln das gewisse Etwas verleiht – müssen Sie die Lücke auch nicht schließen lassen!.
2 Um die Zähne allgemein bisschen ästhetischer zu machen, muss man denke ich ordentlich hinblättern kann man sich da irgendwo "Unterstützung" holen oder muss alles aus eigener Tasche sein ?. Veneers sind also das Ergebnis zahnmedizinischer, ästhetischer Perfektion um ihr gewünschtes lachen langfristig und so natürlich wie möglich zu erhalten Ihr Spezialist Shamuilov ElNathan setzt Veneers auch ein, um kleinere Zahnlücken zu schließen. Der Vorteil Möchte man doch wieder seine Zahnlücke, kann der Kunststoff einfach entfernt werden KOSTEN Die Behandlung kostet je nach Aufwand ab 100 Euro und hält etwa zehn Jahre Besonders haltbar Dr Hajtó präferiert approximale KeramikVeneers, hauchdünne Scheiben, die seitlich auf die Zähne geklebt werden und so die Lücke.
Bei Erwachsenen kann der Zahnarzt die Zahnlücke durch das Anbringen von Keramikfacetten, sogenannten Veneers, unkompliziert verdecken Zahnlücken bei Kindern frühzeitig schließen Zahnlücken an den Schneidezähnen schließen wir bei Kindern am häufigsten zwischen dem 6 und dem 7 Lebensjahr. Mir ist klar, dass Veneers vielleicht die bessere Lösung wären, aber die kann ich mit aufgrund der Kosten derzeit nicht leisten. Zahnlücke/Diastema schließen (Kosten, Möglichkeiten) Wie beschrieben geht es darum, dass ich eine Zahnlücke bzw Diastema zwischen meinen oberen Frontzähnen habe (schätzungsweise 5mm) Ich will nicht sagen, dass ich mich deswegen entstellt fühle aber es knackst schon sehr an meinem sonst eher großen Selbstbewusstsein.
Veneers können auf Wunsch auch am selben eingesetzt werden Möglich ist dies dank Fertigung im eigenen Praxislabor unter Einsatze modernster CAD/CAMTechnologien Die Kosten für diese Behandlung sind höher als die für KompositVersorgungen, dafür sind KeramikVeneers jedoch auch langlebiger und farbbeständiger Welche. 164 Likes, 17 Comments M1 Dental (@m1dental) on Instagram “Bye bye Zahnlücke dank @m1dental!. Erfahren Sie mehr über Dentalbonding verschiedene Methoden, Verfahren und Vor und Nachteile.
Erfahren Sie mehr über Dentalbonding verschiedene Methoden, Verfahren und Vor und Nachteile. Hallo liebes Forum, Ich möchte meine Zähne mit KompositeVeneers machen Ich habe mal gegooglet wie viel das kostet und habe gelesen, dass 1 KompositeVeneer pro Zahn 80€ kosten würde Heißt das dann, dass ich mindestens 160€ zahlen muss?. Das Schließen von Zahnlücken zwischen den Schneidezähnen etwa ist mit unterschiedlichen Methoden möglich Welche das sind und die Kosten erfahren Sie hier Eine Lücke zwischen zwei Zähnen, also eine Zahnlücke, wird als Diastema bezeichnet Zahnlücken sind bei Kindern sehr häufig, aber im Allgemeinen kein Grund zur Besorgnis, da die Lücken oft verschwinden, wenn die bleibenden Zähne.
Veneers sind aus zahnmedizinischen Gründen oft angebracht – aus ästhetischen nicht unbedingt Denn mit den Verblendschalen kann man nicht immer strahlen. 2 Um die Zähne allgemein bisschen ästhetischer zu machen, muss man denke ich ordentlich hinblättern kann man sich da irgendwo "Unterstützung" holen oder muss alles aus eigener Tasche sein ?. 1 An wem wende ich mich, um mit veneers oder was auch immer, vorne meine Zahnlücke schließen zu lassen ?.
Es gibt viele Möglichkeiten eine Zahnlücke zu schließen Doch welche ist die richtige?. Veneers – ein Trend im Sinn der zahnmedizinischen Forschung Ein Trend allerdings, betont der Zahnarzt, bei dem klar zwischen medizinischen und ästhetischen Gründen unterschieden werden müsse. Zahnlücke schließen mit Komposite Veneers?.
Große oder kleine Zahnlücken Mit Veneers aus modernem Keramik können Sie Lücken unauffällig schließen Lesen Sie auf jameda alles über die Behandlung!. Eine Zahnlücke schließen zu wollen hat eher kosmetische Gründe Im Grunde ist es keineswegs schlimm über eine Zahnlücke zu verfügen Berühmtheiten, wie Elton John oder Madonna besitzen schließlich auch eine und zeigen diese mit großem Stolz Experten nennen diese Diastema Diese Bezeichnung ist Griechisch und bedeutet so viel, wie Zwischenraum. Doch für viele ist eine Zahnlücke mehr Makel denn Marke und man lässt sich diesen beseitigen Zahnverbreiterung oder Zahnumformung heißt das Zauberwort Kleine Lücken, insbesondere im Frontzahnbereich, lassen sich durch Zahnumformungen bzw Zahnverbreiterungen minimalinvasiv und mit geringem Aufwand schließen.
Ganz normal beim Zahnarzt ?. Die entstehenden Kosten um die Zahnlücke zu schließen sind in diesem Fall schwierig zu erörtern, da es darauf ankommt, welche Methode für welche Lücke verwendet wird Wir haben hier im Groben die Kosten zusammengefasst Methode Kosten;. Der Vorteil Möchte man doch wieder seine Zahnlücke, kann der Kunststoff einfach entfernt werden KOSTEN Die Behandlung kostet je nach Aufwand ab 100 Euro und hält etwa zehn Jahre Besonders haltbar Dr Hajtó präferiert approximale KeramikVeneers, hauchdünne Scheiben, die seitlich auf die Zähne geklebt werden und so die Lücke.
Veneers sind hauchdünne Keramikschalen, die an den Schneidezähnen befestigt werden Dazu müssen diese nicht beschliffen, sondern nur leicht aufgeraut werden, um dann die Keramikschalen mit Spezialkleber zu verkleben Zahnlücke mit einem Zahnimplantat und festem Zahnersatz schließen. Der Erstattungssumme einer Zahnzusatzversicherung wird je nach Anbieter unterschiedlich berechnet Die meisten Versicherungen schließen bei ihrem Erstattungsanteil, hier beispielhaft 80%, bereits den Festzuschuss der Krankenkasse mit ein Es würden, um bei diesem Beispiel zu bleiben, also % der Kosten beim Versicherten verbleiben. Wenn nicht, was wär der Preis ungefähr?.
Veneers sind filigrane, dünne Plättchen mit einer Dicke von 0,3 bis maximal 1,0 MillimeternSie werden in der Regel aus Keramik hergestellt und dienen der Versorgung von sichtbaren Zahnflächen im Bereich der SchneidezähneSie werden vor allem dann eingesetzt, wenn die Frontzähne entweder unschön aussehen (dauerhafte Verfärbungen, Fehlstand) oder eine größere Lücke zwischen den. Veneers 500 € und 5000 € je nach Anzahl und Größe Invisalign. Die Kosten der Behandlungsmethoden für die Schließung einer Zahnlücke beginnen bei 1500 Euro und können in den zweistelligen tausender Bereich reichen Die Zahnspange gehört dabei in die kostenintensivste Kategorie Bei Implantaten, Brücken und Prothesen entstehen meist durch später notwendige Neuerungen weitere Kosten.
Es lässt vermuten, dass kieferorthopädische Behandlungen auch das Ziel verfolgen Zahnlücken zu schließen, jedoch ist das definierte Ziel im Hauptgrund medizinisch und nicht ästhetisch Genauer gesagt, wird im ersten Schritt angestrebt die physiologischen Funktionen des Gebisses bestmöglich herzustellen, mit einer nur akzeptablen Ästhetik. 1 An wem wende ich mich, um mit veneers oder was auch immer, vorne meine Zahnlücke schließen zu lassen ?. Wie lässt sich eine Zahnlücke zwischen den Schneidezähnen schließen und was kostet dies?.
Kosten für die Voruntersuchung mit allen o g Punkten ca 150 CHF Bei Entscheid für die Verbreiterung wird der entsprechende Termin vereinbart Folgendes wird beim Zahnarzt gemacht um die Zahnlücke zu schliessen Auswahl der verschiedenen Farben. Hallo liebes Forum, Ich möchte meine Zähne mit KompositeVeneers machen Ich habe mal gegooglet wie viel das kostet und habe gelesen, dass 1 KompositeVeneer pro Zahn 80€ kosten würde Heißt das dann, dass ich mindestens 160€ zahlen muss?. Relativ hohe Kosten Für Veneers sprechen die Ergebnisse bei der Verbesserung von Zahnverfärbungen, dem Schließen von Zahnlücken und der Korrektur schief stehender Zähne im Frontbereich, vor allem im Oberkiefer Die Verblendschalen sind zudem sehr gut verträglich eine Langzeitstudie der Deutschen Gesellschaft für Zahn, Mund und.
Mich nervt diese Zahnlücke sehr und hab im Internet von der Möglichkeit mit Komposit gelesen Ist diese Lücke zu groß zum Schließen?. Kosten für die Voruntersuchung mit allen o g Punkten ca 150 CHF Bei Entscheid für die Verbreiterung wird der entsprechende Termin vereinbart Folgendes wird beim Zahnarzt gemacht um die Zahnlücke zu schliessen Auswahl der verschiedenen Farben.

Schone Zahne Durch Veneers Praxis Grund Und Zahne

Qualitat Trifft Zahnasthetik Veneers Dusseldorf

Zahnlucken Wie Kommt Es Zu Den Tremas Welche Losungen Gibt Es Wie Viel Kostet Es Perfekte Zahne Zu Haben
Zahnlucke Schliessen Veneers Kosten のギャラリー

Zahnfleischkorrektur Und Durchtrennung Des Lippenbandchens Kostenfalle Zahn

Schonheitskorrekturen An Zahnen Zahnarztpraxis Sulzbach

Zahnlucke Schliessen Kosten Preisbeispiele Und Mehr

Asthetische Zahnmedizin Schone Zahne Zahnarzt Team Luzern

Title Of The Page

Zahnlucke Fullen Implantologie Und Zahnersatz Zahnklinik Herne

Direktes Komposit Veneering Asthetisch Anspruchsvolle Zahne

Wann Sind Veneers Sinnvoll Anwendungsbeispiele
Zahnrzte Seehof 3kb De Zahnluecke Fuellen

Veneers Kosten Haltbarkeit Risiken Dentalwissen

Shilat Smile Dental Zahnarzt Wien Veneers Wien

Zahnlucke Fullen Implantologie Und Zahnersatz Zahnklinik Herne

Schone Zahne Mit Veneers Dr Hager Zahnarzte

Schonheitskorrekturen An Zahnen Zahnarztpraxis Sulzbach

Frontzahn Komposit Zahnarzt Koln Maarweg

Diastema Wie Die Zahnlucke Der Schneidezahne Geschlossen Wird

Komposit Veneering Und Keramik Veneers Bei Ihrem Zahnarzt In Grunwald

Veneer Zahnarzte Brandmann Kollegen

Zahnlucke Fullen Gunstig Zu Schonen Zahnen Zahninsel

Zahnlucke Wie Schliessen Zahne Therapie Schliessen

Veneers Lumineers Co Keramikschalen Oder Zahnspange Youtube

Veneers Kosten Mit Einer Zahnzusatzversicherung Abdecken

Kann Ich Zahnlucken Durch Veneers Schliessen Med Smile Dr Lisa Marie Steuer Youtube

Veneers Zahnarztpraxis Leipziger14

Veneers Komposit Veneers Prof Dr Bergmann

Zahnverbreiterung In Hannover Professionell Und Erfahren

Zahnfaceten Veneers Dentalux

Diastema Zahnlucke Schneidezahne Schliessen Lassen Praxisklinik Herne

Qualitat Trifft Zahnasthetik Veneers Dusseldorf

Frontzahn Komposit Zahnarzt Koln Maarweg

Lumineers Keramikschalen Hauchdunne Zahnasthetik

Title Of The Page

Veneers Aus Ihrer Zahnarztpraxis In Leer Zahnarzt Dr Bertram

Veneers Zahne Verblenden Fur Ein Schones Lacheln
1

Veneers Zahnarztpraxis Dr Gottwald In Koblenz Am Hauptbahnhof

Patientenfalle Vorher Nachher Dental Team Dr Hajto Munchen

Laminate Veneers In Istanbul Zahnersatz Istanbul

Zahnlucke Schliessen Diese Moglichkeiten Gibt Es Dentalwissen

Veneers Dein Weg Zu Einem Atemberaubenden Lachen Markus Bongartz Funktionelle Dentalasthetik

Zahnlucke By Prodente E V Issuu

Zahn Bonding Zahnlucke Schliessen Bestezahnimplantate

Asthetische Zahnmedizin Schone Zahne Zahnarzt Team Luzern

Home Tourmedical Dentist Kusadasi Turkey

Veneers Aus Kassel Von Den Zahnartzen Dres Kollmar Und Dr Kohne

Veneers Kosten Arten Pro Und Kontra

Veneers Fur Schones Lacheln Zahnarzt Koblenz
Q Tbn And9gcqruvd9vwblhinuljllj1rhyvdfblxa7cr8wnqy1cy2v1mb Rfw Usqp Cau

Zahn Veneers Innsbruck Perfekt Lacheln

Zahnlucke Fullen Gunstig Zu Schonen Zahnen Zahninsel

Haufige Fragen Zu Veneers Auf Einem Blick Zahn Arzt Praxis Helbig

Veneers Und Lumineers Ihr Einfacher Weg Zum Strahlend Weissen Lacheln Zahnarztzentrum Swiss Smile

Zahnfaceten Veneers Dentalux

Title Of The Page

Zahn Veneers Bonn Veneers Fur Blendend Schone Zahne

Zahnlucke Schliessen Kosten Preisbeispiele Und Mehr

Qualitat Trifft Zahnasthetik Veneers Dusseldorf

Veneers Lumineers Kosten Vorher Nachher Bilder Info Medizin

Qualitat Trifft Zahnasthetik Veneers Dusseldorf

Asthetische Zahnmedizin Schone Zahne Zahnarzt Team Luzern

Veneers Kosten Arten Pro Und Kontra

Qualitat Trifft Zahnasthetik Veneers Dusseldorf

Wie Funktioniert Invisalign Und Was Ist Das Vorher Nachher Bilder Youtube

Asthetische Zahnheilkunde Koln Von Veneers Bis Zahnersatz Topdentis Cologne

Zahnlucke Fullen Gunstig Zu Schonen Zahnen Zahninsel

Zahnfaceten Veneers Dentalux

Direktes Veneering Mit Hightech Kompositen Dentalmagazin De

Zahn Veneers Bonn Veneers Fur Blendend Schone Zahne

Veneers Lumineers Kosten Vorher Nachher Bilder Info Medizin

Frontzahn Komposit Zahnarzt Koln Maarweg

Title Of The Page

Zahnersatz Umfangreicher Ratgeber Zu Allen Varianten Behandlungen Kosten Dentalwissen

Zahnlucke Fullen Gunstig Zu Schonen Zahnen Zahninsel

Direktes Komposit Veneering Asthetisch Anspruchsvolle Zahne

Komposite Zahnfarbene Hightech Fullungen

Asthetische Zahnmedizin Schone Zahne Zahnarzt Team Luzern

So Eine Zahnlucke Mit Veneers Schliessen

Veneers Lumineers Kosten Vorher Nachher Bilder Info Medizin

Komplette Zahnsanierung So Hoch Sind Die Kosten Dentolo

Veneers Lumineers Kosten Vorher Nachher Bilder Info Medizin

Zahnlucken Behandlungen Zahnspange Zahne Kieferorthopadie

Veneers Verblendschalen In Herne Rzg Zahnarzte

Veneers Zahne Verblenden Zahn Veneers Berlin Spandau

Direktes Komposit Veneering Asthetisch Anspruchsvolle Zahne

Diastema Zahnlucke Schneidezahne Schliessen Lassen Praxisklinik Herne

Zahnfaceten Veneers Dentalux

Zahnfaceten Veneers Dentalux

Direktes Komposit Veneering Asthetisch Anspruchsvolle Zahne

Diastema Zahnlucke Schneidezahne Schliessen Lassen Praxisklinik Herne

Diastema Zahnlucke Schneidezahne Schliessen Lassen Praxisklinik Herne

Wie Teuer Sind Veneeers Fur Die Gesamte Zahnreihe Geld Kosten Zahne

Zahnlucken Wie Kommt Es Zu Den Tremas Welche Losungen Gibt Es Wie Viel Kostet Es Perfekte Zahne Zu Haben

Asthetische Zahnmedizin Schone Zahne Zahnarzt Team Luzern

Veneers Dein Weg Zu Einem Atemberaubenden Lachen Markus Bongartz Funktionelle Dentalasthetik

Veneers Und Lumineers Ihr Einfacher Weg Zum Strahlend Weissen Lacheln Zahnarztzentrum Swiss Smile

Diastema Wie Die Zahnlucke Der Schneidezahne Geschlossen Wird

Patientenfalle Vorher Nachher Dental Team Dr Hajto Munchen

Diastema Zahnlucke Schneidezahne Schliessen Lassen Praxisklinik Herne

Asthetische Zahnmedizin Schone Zahne Zahnarzt Team Luzern



